Kératose séborrhéique=KS
En cas de doute diagnostic, une biopsie tangentielle (shave) devrait être effectuée. Les KS sont des tumeurs épithéliales bénignes appartenant au groups des acanthomes {Brownstein, 1985}. Il est postulé que les KS sont d’origine folliculaire {Mehregan, 1964; Degos, 1968},et peuvent montrer une croissance soit exophytoque (vers l’extérieur), soit endophytique (comme pour les kératoses folliaculaires inversées)(ceerv le bas){Wade, 1979}.
1. Caractéristiques communes
Différents types histologiques de KS sont reconnus mais toues ont les caractéristiques communes:
A. Epiderme
Stucturellement, en contraste avec la peau normale, on retrouve des degrés variables d’acanthose, d’hyperkératose, d’hypergranulose focale et de papillomatose {Kao, 2000}are found. La transition abrupte entre l’épithélium de la KS et la peau normale est appelée le signe de la ficelle « string sign » {Pierson, 2003}. Aucune atypie {Pierson, 2003}, ni de parakératose{Korting, 1976} sont présetes, à l’exception de certaines KS irritées.
Deux types de cellules sont retrouvées: des cellules basaloïdes et épineuses (squamous-like cells). Les cellules épineuses ressemblent à celles retrouvées dans la couche épineuse de la peau normale. {Kirkham, 1997}. Les cellules basaloïdes sont petites et uniformes avec un noyau volumineux et hyperchromatique occupant une grande proportion du cytoplasme (elles ressemblent aux kératinocytes de la couche basale de la peau normale) {Kirkham, 1997}. Dans les endroits oedémateux les ponts intercellulaires (cell bridges) entre les kératinocytes sont visibles {Andrade, 1959}.
Les invaginations remplies de de kératine sont appelées pseudoglobes cornés et sont caractéristiques de ces lésions. Les globes cornés (kystes milaires au dermatoscope) au contraire des pseudoglobes cornés (ouverture en pseudo-comédons au dermatoscope) ne communiquent pas avec la surface. Soulignons que le nombre de globes cornés tends à être surestimé et que le nombre de pseudo-globes cornés tend à être sous-estimé. La raison est que les sections histologiques sont de deux dimensions et ne permettent pas la vision du trajet en trois dimensions.
La distribution de mélanine n’est pas toujours limitée aux kératinocytes basaux. Elle est normalement retrouvée en parallèle avec les kératinocytes en prolifération basaloïde {Mishima, 1960}, les mélanophages qui sont très présents dans le derme papillaire des lésions très fortment pigmentées.
Dans 18% des KS {Olsen, 1994} de la substance amyloïde est également présente.
B. Jonction dermo-épidermique
{Pierson, 2003}La base des KS est en général dépourvue de papilles epidermiques ou dermiques, et ressemble donc plus ou moins à un ligne horizontale.
C. Derme
Une réaction stromale n’est en général pas retrouvée sinon dans les KS acanthosiques {Kao, 2000} et irritées{Korting, 1976}.
2. Types histologiques
Bien que les KS aient des caracéristiques en commun, aux moins 5 types histologiques sont reconnus {Habif, 2001}. Les trois premiers types sont davantage fréquents que les deux derniers. Une même lésion peut contenir un ou plusieurs types {Habif, 2001}. En résumé, les types réticulés sont toujours acanthosiques et peuvent être groupés ensemble. Un prélèvement avec un startum corneum proéminent peut être considéré comme acantho-hyperkératosique. Ces deux nouveaux groupes composés peuvent montrer un degré variable d’irritation et de pigmentation. Les KS clonales et les KFI (kératoses folliculaires inversées) sont classées séparement car elles sont moins fréquentes.
A. Acanthosique
C’est le type le plus fréquent {Kirkham, 1997}. Les lésions se présentent cliniquement comme des papules non-kératosiques en forme de dôme bien qu’il n’y ait pas de preuve d’une corrlations clinique-histologique {Pierson, 2003}.
L’épiderme acanthosique {Kirkham, 1997} parfois pigmenté consiste de colonnes de cellules basaloïdes avec des pseudoglobes cornés alternant avec des globes cornés {Wade, 1979}.
Ce type contient souvent davantage de pigment que les autres types de KS. En effet, un tiers des coupes marquées à l’hématoxyline-éosine {Becker, 1951} et deux tiers des coupes colorés avace une coloration argentique {Lennox, 1949} révèlent un excès de mélanine. Pour la distribution de mélanine, celle-ci est en général basale, mais toutes les couches peuvent être pigmentées, et se fait en parallèle avec la prolifération des cellules basales {Mishima, 1960}.
En ce qui concerne le derme, une inflammation consistant en un infiltrat de lymphocytes et de macrophages est souvent présente {Kao, 2000}. Des mélanophages sont présents dans le derme papillaire proportionnellement avec la quantité de pigment présente {Kao, 2000}.
B. Reticulé (ou adénoïde)
L’épiderme est caractérisé par de fines travées de cellules basaloïdes qui s’étendent à partir des kératinocytes folliculaires et s’entremêlent {Wade, 1979}. Ce type montre souvent des zones d’hyperkératose, et on y retrouve alors des globes cornées (pseudokystes milaires) et des pseudoglobes cornés (pseudocomédons) {Kirkham, 1997}.
Il a été postulé que ce type de KS est en relation proche avec les lentigos solaires (séniles) {Mehregan, 1975}(voir étiologie).
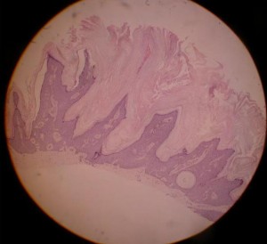
C. Hyperkératosique (AHCS) {Pierson, 2003}
Aussi appelées KS papillomateuse ou digitée, ce type histologique s’oppose au type acanthosique.
Dans l’épiderme, les KS hyperkératosiques peuvent montrer une acanthose, mais sont caractérisées par une papillomatose et hyperkératose importantes. Les projections de kératinocytes épidermique vers la couche cornées ont une apparence en « clocher d’église ».
Les kératinocytes spineux (Squamous like cells) sont plus nombreux que les kératinocytes basaloïdes. Une pigmentation abondante fait généralement défaut. Les pseudoglobes cornés ne kératinisent que rarement.
D. Clonal
Ce type plus rare est caractérisé par des nids de cellules basaloïdes qui ressemblent au phénomène de Borst-Jadassohn qui est retrouvé dans le carcinome spinocellulaire in situ {Wade, 1979}. Les cellules basaloïdes ont une apparence monomorphe et des noyaux denses, et ne peut pas y détecter des desmosomes {Kao, 2000}. Malgré l’aspect quelque peu inquiétant des cellules, il n’y a pas de pléiomorphisme, ni de mitoses excessives ni d’atypies {Kao, 2000}.
E. Irritaté (activaté)
{Wade, 1979} L’épiderme contient des nids épidermiques appelés « squamous eddies » {Pierson, 2003}. Les kératinocytes y sont intensément éosinophiles et sont disposées en pelure d’onion {Kao, 2000}. Cette réaction représenterait une réaction immunitaire {Berman, 1980; Berman, 1982} contre les lésions de KS qui entraîne les cellules basaloïdes à se transformer en cellules spineuses (épineuses) (squamous-like cells). Les squamous eddies ainsi qu’une partie des kératinocytes de la couche basale des KS, deviennent apoptotiques (Pesce, 2000}. Les kératinocytes dans les sqauamous eddies sont alors plus grands que la normale {Pesce, 2000}. Des atypies discrètes à modérées et des cellules en mitose peuvent être présentes, au contraire des autres types.
F. Kératose folliculaire inversée (KFI)(porome folliculaire, acanthome basosquameux)
Ceci fait partie des KS irritées. Elle montre une croissance endophytique contrairement aux KS irritées classiques.
{Pierson, 2003}Histololgiquement, elle ressemble aux KS irritées. des squamous-eddies sont présentes, mais elles se kératinisent parfois en leur centre. Ce qui est différent, c’est qu’l y a une prolifération « bulb-like » de kératinocytes éosinophiles, qui ont alors un morphologie basaloïde ou épineuse (squamous-like). La lésion est bordée par des cellules basaloïdes arrangées en palissade.
H. Une dermatose parfois considérée comme une variante de KS: le mélanoacanthome
{Pierson, 2003} Initialement décrit par Bloch sous le terme épithéliome névoïde de type 1 {Mishima, 1960}, ce type montre des dendrocytes mlanocytaires remplis de mélanine {Simon, 1991}, qui est autrement absente des kératinocytes. Ceci est probablement à cause d’un manque de transfert de mélanine, bien que le mécanisme exact soit inconnu {Tomich, 1990}.
Diagnostic différentiel histologique. Utilité de l’analyse histologique.
Un examen histologique est toujours utile en cas de doute diagnostique. La localisation de la lésion est très utile, réduisant le diagnostic différentiel à une ou deux possibilités. Si des changements ont lieu dans des lésions cliniques de KS, la lésion entière devrait être excisée et envoyée en histologie. Cela rend également moins probable un diagnostic manqué de carcinome basocellulaire (théorie de collision).
Le diagnostic différentiel avec remarques est le suivant:
A. Lésions papillomateuses
B. Acanthosis nigricans
Localisation: – plis
C. Névus épidermique
Ils ont une présentation clinique différente. Bien qu’ils puissent ressembler à des KS, ils sont présents déjà à la naissance ou la petite enfance et prennent une disposition linéaire ou « en tourbillons ». Contrairement aux KS, des poils sortent souvent des lésions.
D. Papillomatatose confluente et réticulée de Gougerot-Carteaud
Ces lésions ont une présentation clinique totalement différente.
E. Molluscum pendulum
localisation
– cou
– paupières
– creux axillaires
– plis inguinaux
– plis inframammaires. Les KS localisées ici tendent à être acanthosiques, peu kératosiques. Ils ne sont pas pédiculés.
F. Porome eccrine de Grosshans (PE)
localisation:
– peau glabre des paumes et des plantes
– scalp
La différentiation est cliniquement faisable à cause de la localisation. De plus , la lésion élémentaire est caractéristique (du porome eccrine): papules rouges friables arrangées en plaques multilobulaires ou pédiculées. La peau entourant la lésion est déprimée.
D’un point de vue histologique, il est souvent difficile de faire la différence. Histologically, SK can be difficult to dediffentiate. Le PE est constitué de cellules basaloïdes poroïdes monomorphes. Les cellules communiquent avec l’épithélium de surface et le stroma a un aspect fibrovasculaire délicat. Contrairement aux KS, une lumière ductale avec des cuticules éosinophiles est caractéristique du PE. Les cuticules montrent un réaction positive au PAS (periodic acid schiff) et ne sont pas colorées par la diastase.
Contrairement aux KS, ces lésions sont potentielement malignes et peuvent (rarement) se transformer en porocarcinomes.
G. Hyperkératose névoïde du mamelon
Cette trouvaille rare montre un épaississment verruqueux du mamleon et ressemble histologiquement à une KS irritée.
Corrélations entre les aspects cliniques et histologiques
Les KS ont de multiples présentations. Clinquement, les lésions de KS semblent évoluer à partir de lésions lisses en lésions épaisses et croûteuses. Dans notre expérience (détaillée dans la section étiologie), pas toutes les lésions seraient lisses en leur début et de lésion initialement crûteuses peuvent continuer à croître.
Les KS de type réticulé sont acanthosiques par définition et les KS acanthosiques sont souvent réticulées. C’est pour cela que nous considérons les KS acanthosiques et réticulées comme un unique catégorie (RA) et les KS acantho-hyperkératosiques comme un autre (AHCS).

- KS réticulo-acanthosique: la majorité des KS sont de ce type et montrent une acanthosoe de l’épiderme et un arrangement réticulé. Du point de vue évolutif, les travées réticulées des kératinocytes des KS s’épaississent pour former une acanthose seule. La majorité des KS sont acanthosiques, avec des régions réticulées ot montrent un mélange des deux types histologiques.
Nous avons essayé de corréler des lésions cliniques avec leur aspect histologique. Nous avons photographié des lésions cliniquement des KS et les avons excisées tangetiellement (shave) pour confirmation histologique.
Cliniquement, les lésions cliniquement lisses étaient du type acanthosique ou réticulé et les lésions kératosiques (croûteuses) étaient du type acantho-hyperkératosiques (AHCS). Si nous considérons que les KS sont stimulées par « impulsions » (vagues succcessives) à proliférer ou accumuler des kératinocytes, on peut admettre que les KS évoluent primairement à partir de lésions paucicellulaires cliniquement lisses du type réticulo-acanthosique (RA) vers des lésions de KS épaisses du type acantho-hyperkératosique (AHCS). Ces lésions paucicellulaires lisses proviennent elles de KS maculeuses, cliniquement compatibles avec des lentigos solaires. Aucune KS clonale n’a été identifiées dans notre étude, et leur rareté ne nous permet pas de lier un aspect clinique avec des caractéristiques histologiques quelconques.
Ceci est important à connaître dans les études cliniques qui mesurent le traitement topique des KS. En effet, un bon examen clinique permet de déterminer avec assez de précision le type histologique de la KS, et donc d’estimer la pénétrabilité d’une substance (spécialement lors de substances lipophiles qui veulent pénétrer un couche cornée épaisse) dans la lésion.
Comme conclusion, le diagnostic de KS peut être fait cliniquement avec l’aide de la dermoscopie. Toutefois, en cas de doute diagnostic par exemple en évoquant une lésion mélanocytaire, une excision tangentielle (shave) avec examen histologique devraient être faits. L’histologie est précieuse mais un diagnostic de KS ne peut pas être posé si la localisation de la biopsie est inconnue (par exemple porome eccrine sur la peau glabre). Aussi, dans la majorité des cas, le type histologique peut être facilement deviné à partir de l’aspect clinique.
Ces conseils sont donnés à visée informative uniquement. Ils ne remplacent aucunement les jugements diagnostics et thérapeutiques fait par un médecin dermatologiste ou expérimenté dans la prise en charge des maladies de la peau.
Contributeurs:
Dr Christophe Hsu – dermatologue. Genève, Suisse










